Отбеливание зубов в Рязани, выгодные цены | Эстетика

Рязань, ул. Вокзальная, 77

Рязань, ул. Быстрецкая, 22к1

Рязань, ул. Радищева, 11

Спасск, ул. Войкова, 54

Отбеливание зубов

Описание

Кто из нас не мечтает улучшить что-то в своей внешности? Одно из первых мест в рейтинге трансформаций в лучшую версию себя занимает идеальная белоснежная улыбка.

Почему же вам так хочется иметь белоснежную улыбку?

48%

людей при общении первым делом обращают внимание на улыбку

63%

людей убеждены, что недостатки улыбки могут мешать продвижению по карьерной лестнице

95%

людей не сомневаются, что красивая улыбка делает человека более привлекательным для противоположного пола

63%

людей убеждены, что белоснежная улыбка является важным преимуществом человека при общении
Каждый мечтает о здоровой и красивой улыбке, которая делает внешность более привлекательной. В достижении мечты вам поможет эффективная и безопасная процедура – отбеливание зубов, в Рязани ее проводит клиника «Эстетика». Записывайтесь на прием к стоматологу на удобное для себя время.

Стоимость услуги

Гигиена («Дентикюр») / Отбеливание зубов
Отбеливание зубов ZoomAP! (2 челюсти)
36 600 руб.

наиболее комфортная и безопасная система

Работы

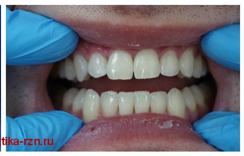
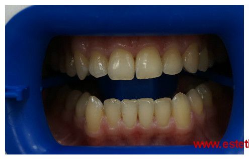
На фото – работа врача-стоматолога клиники “Эстетика” Репьевой М.В. (отбеливание зубов системой Zoom Ap).
отбеливание_зубов_1 отбеливание_зубов_2

Отбеливание Zoom ap в клинике «Эстетика»

Пройдя процедуру отбеливания Zoom ap в нашей клинике, вы сможете:
  • не стесняться собственной улыбки;
  • чувствовать себя более уверенно при общении с другими людьми.

Преимущества

Стоматологи клиники предложат оптимальное решение проблемы потемнения зубов. Мы используем качественные препараты и работаем на современном оборудовании.

Весь процесс не займет много времени. Мы:

01.
Выполним профессиональную чистку зубов.
02.
Устраним имеющиеся стоматологические проблемы перед отбеливанием.
03.
Оценим тон эмали и подберем специальную пасту.
04.
Обработаем ротовую полость гелем Relief.
05.
Нанесем гель для отбеливания.
06.
Очистим ротовую полость и повторно нанесем гель для снижения чувствительности.
07.
Оценим результат и запишем на повторный прием.

 

Мы предлагаем вам записаться на отбеливание зубов и избавиться от массы комплексов. Вам больше не придется скрывать свою улыбку и чувствовать себя неуверенно.

Процедура отбеливания поможет осветлить зубы на несколько тонов, при этом сохранит их структуру. Благодаря методике Zoom Ap эмаль станет светлее на 1–12 тонов. Каждый пациент получит приятный бонус – гель, который позволит снизить чувствительность, и индивидуальную систему для поддержания результата.

Узнать цену на отбеливание зубов в Рязани и посмотреть примеры работ вы можете на нашем сайте. Запишитесь на консультацию и сделайте первый шаг на пути к вашей идеальной улыбке!

Процедуры

Безболезненность и максимальный эффект отбеливание Zoom в Рязани дает благодаря четкому соблюдению каждого этапа:
01.
Всесторонняя проверка полости рта на предмет воспалительных процессов, кариеса и некариозных недостатков, их последующее устранение. Идет в комплексе с профессиональной чисткой зубов (за две недели до отбеливания).
02.
Подбор профессиональных паст, уменьшающих чувствительность. Также применяются пациентом за неделю-две до процедуры.
03.
Оценка исходного тона эмали по шкале Vita. Нами делается фото «до».
04.
Обработка полости рта гелем Relief. За десять минут он приводит зубы в нужное состояние и уменьшает вероятность возникновения дискомфорта. На губы наносится защитный крем, а на десны — жидкий коффердам, который быстро застывает и обеспечивает надежный барьер. Лицо клиента также закрывается от неприятных воздействий специальной салфеткой.
05.
Нанесение отбеливающего геля на основе перекиси водорода (25%). На обработанные участки в течение 15 минут воздействуют лампой Zoom AP. Далее гель удаляют, покрывают эмаль новым слоем. Манипуляция с лампой повторяется трижды.
06.
Снятие защитных материалов, промывание полости рта водой.
07.
Аппликация с гелем Relief в течение 5–10 минут. Проводится для устранения вероятной чувствительности.
08.
Осмотр итогового эффекта. Фотография «после».
09.
Повторный прием через 2 дня (для окончательной оценки результата)

Отбеливание зубов в Рязани:
цены за голливудскую улыбку
и бонусы от клиники

С подробными ценами на услуги отбеливания вы можете ознакомиться, изучив прайс на сайте или записавшись на консультацию к специалисту. Врач нашей клиники проведет осмотр, сделает заключение и расчет для вас. подарки: Для каждого пациента предусмотрены приятные бонусы:
  • гель, избавляющий от повышенной чувствительности;
  • NiteWhite от Zoom — система с индивидуальными капами и специальным раствором для поддерживания эффекта от процедуры в домашних условиях.
Врач не отпустит пациента без подготовленной памятки со списком составленных лично под него рекомендаций и правилами ухода за полостью рта после отбеливания.

Не путать: отбеливание или «осветление» зубов

Методика отбеливания зубов Zoom Ap основана на трансформации ткани зуба в более светлые оттенки. При этом осветление представляет собой процесс удаления с поверхности эмали налета, возвращая ей первозданный тон.

Осветление обычно проходит с применением специальных паст или профессиональной чистки аппаратов AirFlow, воздействующего на эмаль мелкодисперсным составом под давлением. Оно дает осветление зубов на 1–2 тона и, как правило, проводится в рамках гигиенических процедур. Эта процедура также называется “профессиональная чистка зубов”. Это отличное решение, купирующее развитие стоматологических болезней и патологий, однако эстетический эффект удовлетворит не всех: не у каждого человека естественный цвет зубов близок к идеалу, даже если он регулярно посещает стоматолога и следит за здоровым состоянием полости рта. Zoom Ap дает более выраженный косметический эффект голливудской улыбки, осветляя зубы на 10–12 тонов.

Важно: обе процедуры дают безопасное изменение оттенка эмали. Остается выбрать, что больше подходит именно вашим зубам и соответствует целям. Профессиональная консультация врача избавит от сомнений. Записаться на прием можно по номеру телефона, указанного прямо на сайте, или воспользовавшись удобной формой обратной связи.

Наши специалисты

5/5
врач-стоматолог-терапевт
Стаж:
28 лет
5/5
врач-стоматолог-терапевт, микроскопист
Стаж:
11 лет

Отзывы

В данный момент отзывов по данной услуге нет

Оставьте заявку на сайте

Наш администратор свяжется с Вами и подберет удобное время для записи!

Оставьте отзыв

Нажимая на кнопку, вы принимаете Положение и Согласие на обработку персональных данных

Наш администратор свяжется с вами и подберет удобное время для записи

Спасибо Вам за отзыв!

Записаться на приём

Наш администратор свяжется с Вами и подберет удобное время для записи!

Наш сайт использует файлы cookie для улучшения взаимодействия с пользователями и анализа трафика. Продолжая использовать этот сайт, вы соглашаетесь с использованием куки (cookie).
Принять